凸嘴干货:凸嘴也分好看与难看,你是哪一种?

凸嘴干货:凸嘴也分好看与难看,你是哪一种?

大家好,我是讨喜。

今天要解决一个男女都很头疼的面部“bug”——凸嘴。

凸嘴不经意的侧脸就像一盆冷水,瞬间浇灭了正脸的好感。

▲ 凸嘴代表选手:水原希子(松本润也是嗷)


凸嘴是影响侧面容貌的关键因素之一, 这就涉及到正畸领域里的审美标准了,面部软组织的侧貌决定了面型属性(直面型、微凸面型、凸面型和凹面型),而面型属性又影响气质。

很多男粉留言说我总写女生,从今天开始,讨喜尽力做到每篇文章都“雨露均沾”,其实,男生的凸嘴比女生更影响颜值,凸嘴会带来莫名的土气感,容貌“返祖归宗”、嘴大,经常有人说你一脸严肃,太过强悍不好接近。

但是水原希子的凸嘴并不影响她火遍亚洲, 到底哪种凸嘴好看,难看的凸嘴怎样扭转局面,这一期的干货不要错过。


1 如何判断自己是凸嘴?

临床上常用 面型角、0-Sn值、0-Pos值 等美学指标评价面部软组织侧貌,所得的值偏离标准值越大,越能反映下面部的膨出程度。

这张图是我在教学图上自己画的线

中国人的面型角一般在7°±4.5°之间,0-Sn值在4.5~9.5mm、0-Pos值在±2mm


为了方便理解,讨喜动手做几个明星案例图,先上一组颌面无可挑剔的案例,3项值均在正常范围内。

▲ 刘亦菲和杨洋


凸嘴代表队:水原希子和刘以豪,三项数值都明显高于前两位。

▲ 水原希子、刘以豪(没有对比其他人是纯侧面图太难找了┭┮﹏┭┮)


水原希子和刘以豪的下面部膨出感更强,并且鼻唇角<80°,呈现出鸟嘴形态。

▲ 正常的鼻唇角在80°~110°


与标准值偏离越大的凸嘴,唇部在放松状态时越很难闭合,嘴唇闭合时 唇周肌力紧张,有严肃、审视感。

▲ 注意她的嘴唇紧闭感

美人也有凸嘴,但也不影响她的美貌成为经典,所以问题来了,哪种凸嘴才好看?


2 凸嘴分类

凸嘴类型分为 唇性、牙性、骨性 混合性 唇性: 嘴唇饱满、外翻、有明显的翘度,外观和凸嘴相似,但只是唇部软组织多而已,不用太介意。


单纯的唇性凸嘴代表选手是 石原里美(有的唇性会比较介意, 其实并不怎么影响外貌, )。



齿性: 分为典型 龅牙 微龅 ,典型龅牙在20岁前基本都被“消灭”,而微龅因牙齿排列整齐,牙齿轻微前倾成为“漏网之鱼”。


王祖贤 的凸嘴来自牙齿的轻微前倾(也有骨性因素,后面会讲到)。

▲ 下牙的前倾度很明显,嘴唇闭合时唇周肌肉紧张


骨性: 牙齿整齐,没有前倾,上下颌骨发育过度, 与长期口呼吸有关


早期的蔡徐坤下颌骨发育过度,下唇突度大于上唇,呈反颌,发育期可通过正畸解决,错过最佳矫正期的话只能做正颌手术了。

▲ 蔡徐坤前后变化对比


明显的上下颌发育过度案例:雷庄儿(17年港姐)。

▲ 牙齿排列整齐,上下牙槽骨发育过度,呈鸟嘴样


混合性: 混合了2种以上的凸嘴。

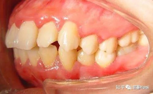
齿性+骨性: 大笑能看见上牙床,比单纯的龅牙更拉低颜值、更难矫正,需要 正畸-正颌联合治疗 才能达到理想效果。

▲ 严重的齿性+骨性是龅牙珍和凤姐


唇性+骨性:邱淑贞、水原希子 ,水原希子更明显。有了唇性的掩饰,这类型比单纯的骨性多了娇俏感。


▲ 邱淑贞、水原希子


骨性+小颏畸形 也很拉低颜值,土气值暴涨……上半张脸无论多好看,下半张脸仍是硬伤。



3 为什么明星的凸嘴好看?

有粉丝留言说他的一位正畸患者喜欢凸一点的嘴,觉得可爱。讨喜想了想,她可能想要邱淑贞俏丽又性感的凸嘴。

▲ 邱淑贞


每当谈到凸嘴, 王祖贤 邱淑贞 必须有姓名,盛世美颜都是凸嘴,仿佛只要模仿她们就能找到出路。

世界上有两种凸嘴,港星的凸嘴和大众的凸嘴。

上面分析过,王祖贤的凸嘴是轻微的齿性+骨性,邱淑贞则是轻微的唇性+骨性。

即使她们有凸嘴,当时的 滤镜 不够清晰的像素 弱化了凸嘴带来的面部起伏度,着重强调五官 ,但美貌这件事,上升到一定境界之后,所呈现出来的感觉又不一样。

▲ 邱淑贞与王祖贤合照


王祖贤的整体比例、脸型、五官配置与格局、皮肤、摄魂的英气眉眼,成为一代雌雄同体。邱淑贞尖而短的下巴,坠入了精巧的灵气,大胸小骨架的配置,满足了男性对娇小性感女郎的所有幻想。

男星也是如此,大陆凸嘴男星很少(有也被消灭了),港台的凸嘴多一点(王大陆、刘以豪、陈豪、谢天华)。这与当地审美偏好、长相特点、地域气候有关(这里有提到: 中国人在长相上有没有地域特点? )。

▲ 男性面中平、皮脂低更容易暴露凸嘴缺点


这里着重分析王大陆和刘以豪。王大陆脸上没有“ 循规蹈矩 ”4个字。

王大陆也有轻微反颌,虽然下面部膨出感很强,但有高眉骨与鼻梁“力挽狂澜”,侧面没有倾斜得太厉害,加上他“神来之笔”的鹰钩鼻与大嘴,

虽算不上典型帅哥,倒颇具野性 (他的经典角色都与霸气属性有关)。

▲ 王大陆《狼殿下》


凸嘴的 刘以豪 更是 另辟蹊径 。有人说他和陈豪相似,因为 又凸又大的嘴唇 太吸人眼球了。

▲ 刘以豪、陈豪(追《我们不能是朋友》时,讨喜经常被刘以豪的大嘴带出戏…)


刘以豪的凸嘴是骨性+唇性,立体度低于王大陆, 轻度后缩的下巴又使男性最重要的颏部线条变得模糊而圆润,削弱了男性化特质。

鉴于立体度不够高、颏部曲线的弱势,他的风格更偏向 阳光的韩系花美男 阳光的笑容掩饰了凸嘴的唇部孤立感 。如果他的下巴问题得到解决,气质更A。

▲ 他目前的霸道总裁形象是“褚克桓”角色加成


总的来说, 男性的凸嘴一定要配合高眉骨、鼻梁以及颏部曲线才能弱化侧面凸嘴的起伏度 ,但对于立体度较低的人,如果综合的男性化特质相对较低,可在风格上考虑有 阳光的日韩美男路线


如果我们单用眼睛把面部拆分成每个细节,对着标准作业去批改作业,只能 以点概面、坐井观天

审美虽有美学标准,落到每张脸上,却没有“标准答案”。


3 普通人的凸嘴应对策略

上面分析的男女星都是整体优势强压局部劣势(凸嘴),若整体优势压不住,没有吸引视觉的闪光点,视觉重心只有聚焦在相对拔尖的劣势上,所以不好看的凸嘴或多或少存在以下“并发症”。


因素1:嘴裂大

▲ 水原希子素颜


男性的大嘴只要五官比例协调,不会明显拉低颜值,但对女生影响较大,涂上艳色系口红就像“ 吹火嘴 ”。

解决办法

面容风格往大气型发展,扩大其余五官比例,使其均衡。
唇妆:使用存在感较弱的口红,用艳色系口红需用遮瑕笔遮盖部分嘴唇外缘,把唇型画小,提高面部平整度,突出浓颜大五官。
美白牙齿,多微笑,不要刻意抿嘴。
玻尿酸调整唇型:将视觉中心集中在唇珠+唇峰+唇凹上,也有缩唇效果。

▲ 唇中的弧度与形态很重要


2. 长人中

长人中对下庭比例有直接影响,使五官上下调性不一,嘴唇过度下沉而显老。


莫文蔚就是典型的长人中,还搭上长中庭,很难通过手术调整面部比例。

▲ 莫文蔚


解决办法

人中略长,下巴较长的可以尝试画厚双唇或丰唇,增加唇部厚度,平时尽量避免抿嘴拉长人中。
没有长中庭可通过鼻整形调节中下庭比例,一般选择直鼻+鼻尖表现点下移。
注意嘴唇微张,平时呈现出自然、性感的微张状态,多微笑。
人中缩短术(因留疤原因只建议对此项目收益较高的人考虑)。

▲ 参考案例,来自潘柏林医生


3. 面部平整度低

不少人的凸嘴是骨性原因所致,基本上有明显的泪沟和鼻唇沟,后期因皮肤松弛又挤压出法令纹,形成下垂+凹陷的复合性法令纹,降低皮肉平整度。

▲ 章子怡面中平没有明显鼻唇沟,是因为皮肉少。紧致,只有两道很浅的鼻唇沟


解决办法


4. 下面部凸度太明显

凸度太明显则打乱侧颜的平衡感,即使垫眉弓和鼻梁,下面部的膨出感仍很强烈,

▲ 王心凌即使垫高鼻梁,凸嘴仍很明显


这类情况一般存在于低立体度的脸或是较严重的牙齿或颌面问题,必须先解决“bug”。

▲ 陈若仪正颌前后对比


解决办法

  • 牙齿正畸。
  • 正畸-正颌手术/双鄂手术。
  • 假体隆下巴/颏成型手术(男生需特别注意)。


此外,凸嘴们还需避免90°侧面拍照,以85°~80°角度替代纯侧面,看微凸的刘诗诗做最佳示范。

▲ 她的每张侧面几乎都是能看到少许对侧上眼睑


无论是绝色佳人还是荧屏帅哥,如果在五官死磕,望着脸上一亩三分地,你只会对美的理解越来越狭隘,这和绘画的理念一致。

在绘画里,如果你只注重局部的细节,忽略了画面节奏的整体把握和动态神情的表达,整体感官的协调美一定会失分,甚至犯原则性问题。

一个个“对”正确答案,是最低级的审美方式。


发布于 2019-11-06 12:10